My Wisdom Teeth Surgery Experience

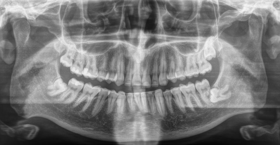
First person X-ray image displaying my teeth with a wisdom tooth visible in each quadrant, the top left one is already completely out, the others are not and the bottom right one is vertical towards and already a bit below the neighbouring tooth and has seemingly already destroyed half of its root

Left and right will be used as in first person view, therefore I mirrored this image, you’re basically looking at it from inside the head.

Also, I swear my front teeth rows don’t look that asymmetrical in reality, only a tiny unnoticeable bit if at all, maybe the X-ray’s panorama function just sux.

TLDR

(It’s not over yet, so I can’t guarantee that the following paragraph is going to stay true. I will continue to update this page until it’s over™.)

I had no pain at all during the procedure and it went by quickly and without problems. Only a bit of pain afterwards, even when I stopped taking painkillers, very manageable. Just be ready to cool your cheek(s) and stock up on soup, white bread to dissolve in the soup, potatoes and bananas to mash and apple sauce. I had both sides done separately, but I would have done them all at once now. It’s no big deal at all! I was extremely nervous, so I understand very well if you feel the same way and nothing I say could change that, but maybe I can lessen your fear a bit by letting you know what you’re up against. I wish you the best of luck, I’ll be rooting for you! :)

If you don’t feel like reading this entire novel but want to know the most important stuff, read Ze Procedure and Conclusion (Right Side), as well as Information Sheet for official facts officially sanctioned by an official professional.

Content

Prologue Day 1 – Doomsday Pre-Surgery Local Anaesthesia Ze Procedure Way Home and Information Sheet Home Again Day 2 Day 3 Day 4 Day 5 – Second and Last Pain Peak Day 6 Day 7 – Stitch Removal Day 8 – Non-Liquid Food Day 9 Day 12 Day 19 Day 25 Day 32 Conclusion (Right Side)
Day 1 – The Other Side – Toothday At Home Pre-Surgery Local Anaesthesia Ze Procedure X-Ray Back Home Day 2 Day 3 Day 4 Day 5 – Second and Last Pain Peak Day 6 Day 7 Day 8 – Stitch Removal Day 9 Day 10 – Non-Liquid Food Day 11 Day 13

Prologue

I was very nervous, especially regarding whether the local anaesthesia would work well enough. Because that one time when I was a child, I had to have a tooth removed, but it just wouldn’t get out and I kept feeling tons of pain even after multiple additional syringes and my dad told me dental anaesthetics don’t work well for him either. And that one bottom right wisdom tooth did not look easy to remove. And I’ve unfortunately read about some not that great experiences on the interwebs. There was also the option for sedation or general anaesthesia (not sure if those are the correct English terms). General anaesthesia didn’t sound that good either because it’s demanding of the body and, especially in the era of the so-called Coronavahrus, getting ventilated does not sound like it deserves a spot among my top ten leisure activities. And I have bad memories of those multiple times when I was a child and I had to have general anaesthesia. Sedation sounded good, no memories after and no need for ventilation during the process. But also no unconsciousness, apparently. What if it doesn’t work, and even if it does, it kind of sounds like torturing someone and then just removing their memories of the event from their brain. And both would be additional effort, monetary cost, no proper food even earlier and also maybe it’s not even necessary and I’m just a coward. Which I definitely am either way. But even Amarizo and my dad said they would prefer to be sedated, so maybe it wouldn’t be too Rediculous to want that.

Another decision was whether to do all four at once or one side first. I don’t even remember if the dentist told me that or if I read that on the interwebs. My first thought was definitely all four at once because I want it to be over as soon as possible and not live through it twice but slightly less bad. But later, I thought that one side after the other might be the better option, mostly for one reason: the local anaesthesia. The aforementioned tooth removal that didn’t go well left me with a completely numb area so large that I almost couldn’t swallow. Which made it very difficult and uncomfortable that my mum forced me to drink lots of water afterwards. For this year’s dentist appointments it has been similar: Half my tongue was undetectable by my nervous system and swallowing was still doable but difficult. I tried to place my tongue more in the non-numb side of my mouth but still occasionally felt like I bit on it. Which I could only tell by my jaw not closing as far as it should. So having my entire tongue and back of the mouth completely numb sounded very bad indeed. I imagined I would not be able to swallow at all and have no idea where my tongue is, So I eventually changed my mind and decided to do each side separately.

There was also another big question in my head: Is it even necessary to remove them? I understand that the lower right one has to be removed, it already looks like it’s been destroying part of the neighbouring tooth. But what about the others? The upper left one has come to the surface of its earth almost 2 years ago and it’s never caused me any harm, except for psychological malfunction and blurred vision. I mean except for lots of pain when it came out. Whats not wisible on the X-ray though is that it’s grown out not entirely straight, it’s facing a bit toward the inside of the cheek. But I don’t have an issue with it. Do they actually have to all be removed or is the dentist just saying so because we live in a society and the dental industry wants to profit off of me? And who thought of teeth in the back of the jaw that don’t fit and that grow in random directions and therefore have to be surgically removed?

I prepared myself by reading stuff on the interwebs (which, at least regarding reports by people having bad experiences, might not have been the best idea, also because there’s a lot of contradictory stuff), putting Harry Podcasts read by and with Coldmirror on my phone to listen to during ze procedure, and taking a cold pack with me (again not sure about the term, those plastic gel containers you put in a freezer to cool them down). My dentist told me the first appointment at the oral surgeon is only a preliminarilily talk to tell me what I have to know and to tell them how I want them to go about the procedure. But on the phone, it didn’t sound like the first appointment isn’t the proper one yet. So I took a cold pack with me and prepared my phone and earbuds just to be safe, but also a Sandvich for lunch because the oral surgery isn’t that close to my home in the middle of nowhere. Not knowing what would happen at that appointment meant that I was more nervous than if I’d known it wasn’t the real one yet but less nervous than if I’d known it would already happen. But the chance that it could be happening that day and I would have been less nervous the time before and I wouldn’t have to be nervous again and with more severity after the appointment made me glad that I didn’t know and that the possibility was there. So I focused on thinking nothing would happen on that day while secretly hoping it would. Similarly to how I don’t want to know what time it is at night so I can sleep better not knowing that I only have 10 minutes, 1 hour or 5 hours left until the alarm goes off. Some voluntary ignorance can be bliss.

Fortunately, most of the time leading up to the appointment didn’t leave me much of an opportunity to be nervous because I had to focus on getting the Don’t Ever Forget cover done in time for my brother’s birthday. But the couple of days inbetween his birthday and the appointment, I was rather nervous and decided to distract myself by finally playing Mario Odyssey, which I still hadn’t played. I really liked it. And I was especially enchanted by the Steam Gardens theme. I put it on my list™ of songs to cover.

Day 1 – Doomsday

Pre-Surgery

When the day came, I could barely eat anything for breakfast, which is very unfortunate because it was my last opportunity to eat something proper and good for a hwhile, and my entire body was shivering. And I think I pressed Z to defecate at least four times until 9 am. Then, my dad rang my door bell and drove me to the surgery.

Filling out the paperwork in the waiting room was no issue, but the signature I had to give in the treatment room right before ze procedure started looked very shaky. Once I was in the room body, the surgeon told me they would remove my 4 wisdom teeth today as per my dentist’s recommendation and asked me if I had any questions. I told them about my worries and experiences regarding local dental anaesthesia, that it might be better if they only do the right side today because that has the bad one and it would mean that only half of my mouth and lower face would be numb, resulting in me not having too many issues placing in my tongue in my mouth and swallowing because I can still feel half of my tongue and half of my swallowing-related muscles, and it would mean that I could still use one side to consume or less painfully transport nourishment, though I of course don’t know if that’s necessary. They agreed to doing only the right side today and promised to make sure the affected areas are completely numb before starting. And I asked if I was allowed listen to something on my phone, which I was. I was also told some things like that I should cool it afterwards, that I wouldn’t be able to eat and that I’d get a sick note for a week. And I think that was it. No more explanations. I could of course have asked more questions, but I was nervous and couldn’t think of anything else. I thought I would be told everything I have to know and not that I have to read interwebs stuff of questionably trustworthiness and then make a list and send it I mean take it to the surgeon and manually ask about the truth of each sentence.

Local Anaesthesia

They started by sticking one syringe into the outside of the upper row of teeth and one each into the inside and outside of the lower row. I didn’t feel two of them very much, but the bottom inside one was rather uncomfortable, but manageable. Ten minutes later, the surgeon asked how numb everything feels. I replied that my lip doesn’t feel numb at all and neither my tongue, only the teeth area a bit. I think I was given two more syringes after that, one top and one bottom and I had to wait another ten minutes.

During that time, I heard the two nurses who were still in the room behind me whispering about stuff. One of them was apparently new and collecting experiences and I think I also heard them saying that they’ve never dealt with someone who is allergic to painkillers. In the paperwork I had to fill out, I put ibuprofen in the allergies field. I could slowly feel the right side of my mough getting numb and also half of my tongue getting number. The whole time I was sitting there in that chair, I was trying to stop shivering, both because it probably wouldn’t be helpful if precision surgery had to be performed inside my mouth while I was moving all over the place and because I didn’t want the staff to think whatever about me. That reminds me of that one time when I was a child in a proper surgery room before the general anaesthesia started kicking in and I was shivering a lot as well. One nurse noticed, asked if I felt cold and put an additional blanket over me or something. But it had nothing to do with the environment temperature, of course.

This oral surgery room looked like a regular dentist room. The only differences I noticed were less instruments on that arm thing, a much wider movable lamp over the chair and some kind of device that looked like a beeping heart rate thingy from movies. In my attempts to stop shaking, only one thing worked. It might sound silly, but I imagined Sheila to my right and Raleigh to my left, casting numbing and calming magic on me, holding my hands and calmly telling me to be calm. When I first finished creating this illusion in my mind, I completely stopped shivering. I was surprised myself. The power of imagination and love. In the following minutes, it worked sometimes more, sometimes less. The surgeon returned and I told them that the right half of my lips feel completely numb now, though I can still feel my entire tongue, the right half is only a little numb. They poked the right lower inside gum with a pointed stick and I could still feel it. So I was given another syringe there and was told that it should be enough now. And swallowing was a little harder, but barely, not at all as much as I was used to from the last two dentist appointments. The surgeon told the nurses to keep more syringes ready to administer during ze procedure if necessary and then they started.

Ze Procedure

I put my earbuds in and kept my phone in my hands to hold something and to be able to adjust the volume so I could hear them if necessary and they put a cloth thing with a hole to reach through to my mouth over my upper body (apparently also, known as surgical drape, sometimes). This also meant that I couldn’t really see anything, only a tiny bit if I looked down to the hole over my mouth. But I think I closed my eyes. I don’t remember. Anyway, the surgeon put the first torture instrument in and told me it would get a little loud now. And so it did. It was some sort of tungsten carbide drill they use in coal mining. I had read that they have to drill through the jaw bone and remove parts of it to get to the teeth if they’re still in there. Also not the nicest thing to imagine, I daresay. They started with the upper one, it doesn’t look like it’s still inside the bone on the X-ray, but it’s hard to see where the bone starts in the top row. Maybe they still had to remove parts of the bone to be able to pull it out, maybe they drilled through the side, maybe they only drilled the tooth itself apart. Either way, it was extremely loud. I couldn’t understand anything coming from my earbuds at maximum volume (and when I could hear it, I still didn’t understand anything because I couldn’t focus on it, but it was still very helpful to just hear Coldmirror’s voice). It was so loud that it hurt my ears. But fortunately no pain at all in the mouth. After only a bit, they stopped drilling and eventually started pulling on the tooth with so much force that I was literally sliding across the table or rather chair. But it didn’t feel too uncomfortable and there was still no pain, I found it rather wisible. And then it was out. And they went on with the bottom one. And it got loud again. Even louder than last time. It actually hurt my ears so much that I really wished it would stop, verrry soon. Imagine standing next to a fire truck with an active siren. Maybe it was louder because they actually drilled through the bone itself this time, it definitely looks like they have to on the X-ray. Maybe for some other acoustic reason. When they finally stopped, it didn’t take too long either, I was told I would hear a crack soon. Something cracked with a rather disgusting noise, but I didn’t have much of an issue with it. I assume they snapped the tooth in half to get it out. And not long after, a little gauze roll was put between my back right teeth, I was told to firmly bite on it for half an hour and it was over. According to how much of the podcast had elapsed, I later found out that ze procedure itself took exactly ten minutes. My mum told me later that her wisdom teeth surgery, she only had three fortunately, took very long, like at least twenty minutes for one tooth and they kept saying they’ve almost got it, they could already see it. Maybe medicinal procedures have improved over the last 30 years. Maybe she was just unlucky. Maybe her surgeon was bad. Maybe I was lucky and my surgeon good. Maybe a combination of those. Who knows. Either way, I was very relieved it was over already and I hadn’t felt any pain. At least in my mouth. I was told to take the first painkiller dose when I’m at home, that I should make a followup appointment at my dentist so I don’t have to get all the way here just for checkup and stitch removal and that I would get some papers at the reception. So I went to the reception and was given an information sheet printed on both sides, two prescriptions for painkillers and mouth wash and the sick note. Then I was free to go.

Way Home and Information Sheet

I walked out of the building in a little weird state. I was extremely relieved that it was over, yet also very exhausted from the stress and also worried what would happen when the anaesthesia would wear off. And about the fact that I apparently had two gaping holes in my mouth and bones, with threads through my skin holding the openings together. But mostly relieved. My dad was waiting outside the building and we got into the car.

I started cooling my cheek and reading the Patient Information sheet I had just been given. What I’m about to tell you now is apparently the professional opinion of professionals, but still sometimes contradicts stuff I’ve read on the interwebs including Wikipedia, so I of course can’t guarantee that it’s true. There is no truth, only temporary findings, interpretations and opinions. The first sentence starts with “today, we planned or performed surgery”. Well, it certainly would have been nice if I had been given this sheet beforehand so I could have asked questions about it. Things the sheet mention that the surgeon didn’t include that I could drink water immediately after, preferably with a straw. That made me think that using straws to drink water and eat/drink soups (I’ll just say consume) is a great idea. But later on the interwebs, some or rather the majority said that straws should never be used because the suction in the mouth could loosen the blood clots that filled the holes and that will eventually become new bone and gum which would then result in a dry socket which is apparently very bad. My sheet didn’t mention straws any further, no warning that they could be bad. I don’t know if the sheet only intended them to be used right after surgery and only for water or if using straws is no issue at all, maybe I should ask when it’s time for the other side. It also told me to take painkillers regularly to make sure the drug level in my body is constant and optimal and again that I should take the first dose before the anaesthesia wears off. The same goes for antibiotics if prescribed, which I was not. I should only eat liquid or soft food like soups, pudding or soaked white bread for 3-4 days and no sticky and plaque forming food like candy. There is currently no scientific proof that diary products have any negative effect, which is of course irrelevant for a meat-loving herbivore like me. (As I’m reading through the physical sheet of paper again, I just had the urge to press ctrl+f to find stuff) Alcohol and caffeine must not be consumed for one day and cigarettes at least until stitch removal but preferably during the entire treatment as they considerably affect the healing process. Good thing that I don’t do any of these. But it must be very unfortunate for people whose bodies depend on them. I should cool the cheek to lessen pain and swelling but never apply warmth. “Avoid resting in a flat position”. I’ve read about this as well, that one should sleep with the upper body at a 45° angle which also eases the pain. But the word resting and especially the original German word used sounds more like cozily relaxing on a couch reading a book or taking a nap and less like sleep at night. But maybe it’s just me who considers this wording not entirely cleat. But it also doesn’t say for how long a flat resting position has to be avoided and at what minimum angle it is considered avoided. And if avoid means it doesn’t really matter that much or if it’s very important and “avoid” was just used for more diverse and interesting wording. Hygiene is very important, teeth have to be brushed as normal, optionally with a softer brush, but the affected area of course must not be touched, and disinfecting mouth wash or just water should be used regularly but not too much. The one I was prescribed said to use it twice per day, so I did that. Until stitch removal, there must be no physical activity, even using stairs, even if one feels perfectly fine. It would have been rather wisible if the surgery weren’t located on the gound floor of its building and only had stairs. And good thing that I only have 3 stair steps to my front door and 5 between the living area and the entrance/bathroom area. You better have a ground floor flat if you have to have your wisdom teeth removed. Soft swelling (don’t think I’ve heard that before) and pain is to be expected for 3-6 days and discolouration of skin is possible. It also mentions something I’ve never heard of which is apparently known as “oroantral communication” in English, which could happen when extracting the upper teeth and which is apparently bad but the sheet says it happens frequently and if it is the case, exudate coming out of the nose is normal and it’s critical not to blow the nose and to open the mouth while coughing for at least two weeks. The surgeon didn’t mention this to me, so I’m assuming and hoping it doesn’t apply to me, but to be safe I still followed this. Bleeding afterwards is possible and no issue, even tiny amounts of blood can redden saliva a lot but is no reason to worry. Active bleeding should be stopped by again firmly biting on a gauze or tissue roll until it stops. Sit upright and don’t excessively spit or wash the mouth. Call the surgery immediately if it doesn’t stop after 1-2 hours.

So that’s that. Some questions that are still open that I might ask the surgeon next time if I remember them and am not too nervous include:
Should I cool constantly or intermittently?
How should I proceed after the 3-4 days of eating only liquid or near-liquid food? Do I slowly eat more solid foods over the many weeks it apparently takes to fully heal? What types of food can be eaten after what period of time?
Are straws dangerous to use?
How upright do I have to sleep and for how long?
At what point can I touch the affected area with my toothbrush and brush normally again?

Now I was worried about the anaesthesia wearing off. As I already mentioned, I’m allergic to ibuprofen, which is apparently the go-to painkiller for many things, including wisdom teeth extraction. I have paracetamol at home to use against migraines and which I’m definitely not allergic to. But I’ve read that it’s not as effective as ibuprofen, especially in this case, which didn’t sound good. Fortunately, the painkiller prescription I received was for something else, metamizole. And it turned out to be liquid drops instead of disgusting solid tablets which are both hard to swallow and sometimes get stuck in my throat a little, I absolutely hate them. About 45-60 minutes after the extraction was done, I took the first dose in the parking lot next to a pharmacy. I was told to take it when I’m at home, the entire drive takes about 1:15 hours, but also before the anaesthesia wears off, I didn’t know when that was and didn’t want to take the risk of it wearing off before the painkillers start working, I did not want to feel the open holes in my mouth. It tasted only a little bitter but not like much. The prescription and package leaflet said up to 40 drops up to 4 times a day. I took 40 drops and set alarms to every 6 hours to make sure I felt as little pain as possible, even if it meant I had to get up at night. I sipped a couple of sips of water afterwards, and either because I’m an eedeeoht or because of my numb mouth, or because of both, I choked on the water and coughed blood all over the place. I hope nobody on the parking lot saw that. Except for unfortunately my dad. It must not have been a pretty sight. And it was rather uncomfortable, I hope it didn’t cause any damage. And that I didn’t break the oroantral communication rules, if they had to be followed. The entire time, I kept my jaw in a slightly opened position, no more, no less, and if I had to speak, I didn’t move it as that would have been uncomfortable. Speaking still worked surprisingly well. At one point, I noticed a license plate in front of us that spelled RA TS 1234 and of course immediately thought of @eon_exists.

A car with a license plate spelling “RA TS” and a censored number

Home Again

Once I was home again, I drank water with a straw and eventually a soup with a straw, which required quite a bit of sucking which is apparently bad, and constantly cooled my cheek. I took painkiller doses as scheduled at 18:45 and 0:45, these times only 37 drops to make sure it wouldn’t be too much but also enough to make me feel no pain and then went to bed. So far, there was still no pain at all. The anaesthesia over time spread out a little more while getting weaker I felt like, and it took quite some hours to wear off. It reached all the way up to my ear, which made wearing headphones a little weird. After a bit, my cheek was swollen by a small to medium amount, but not too much. The inside of my cheek was also swollen a little at the back, I guess because I accidentally bit on it during the time I couldn’t feel it. The gum behind the second molar was a little swollen as well and these two things in combination didn’t allow me to close my jaw even if I wanted to. Even having it open to little hurt a bit because my teeth would touch the sore inside of my cheek. Smiling and laughing hurt as well, which was unfortunate because I usually can’t not at least smile a bit when I’m around people, because my mum made me feel like I’m an emotionless monster when I don’t smile, which made me unable to smile around her, and/or because I’m around people I genuinly enjoy being around, like in this case my dad and brother. Be warned, watching something rather wisible that you can’t help but laugh about could be painful or uncomfortable. I tried to compensate a bit by smiling only with the left corner of my mouth and trying to keep the right corner in its neutral position, with worked more or less, definitely less when there was a reason to smile or laugh more strongly.

In the evening, the affected areas started feeling a little bit weird, not really painful but I’m assuming it would have been painful if not for the painkillers. I built a 45° slope out of pillows on my bed to sleep on. The night wasn’t that comfortable, but not because of pain, I still didn’t really have any, only because the position was uncomfortable and simply because of the existence of the situation in my mouth. I woke up multiple times and wanted to change my position, but couldn’t. I read a bit when I went to bed and then put on Harry Podcasts on my phone again, keeping them going all throughout the night to distract me.

I brushed my teeth carefully and didn’t touch the back half of the right side. It wasn’t that easy since opening and moving the jaw hurt a bit, just like while eating, but it worked. I didn’t look into my mouth, of course.

I also thought about how it must be for the surgery staff to do this kind of stuff. I could never cut through skin, drill through bones, rip out teeth and sew skin together. How can they do that? I didn’t even dare open my mouth in front of a mirror for quite a couple of days because the idea of not only knowing of but also seeing the gaping holes in my mouth and bones with threads through my skin holding the openings together seemed not that appealing to me. But apparently it’s no issue to do this for doctors. But it’s good that they’re people who use their ability to do this for good and not for murdering people without empathy or something, as violent video gamers would.

The operation itself was definitely the part I feared the most, which was fortunately over now. The part I feared the second most was the stitch removal. Pulling threads through my skin out of wounds sounds disgusting and painful. And it sounds very primitive. Surely there must be better ways to close wounds nowadays. I asked myself the same when I was at the orthodontist recently to get my upper front inner retainer replaced (you can see the old one in its broken status in the X-ray) and they made a dental cast of my upper jaw, just like back then for my braces. How positively medieval. We can make detailed 3D scans of people to use as digital models but we still use these stone-age methods in the medical field. And glueing a 2 cm wire to teeth apparently costs as much as a medium-end smartphone. That will most likely break over and over again, making the braces I had useless because it’s impossible to hold the teeth in place without them. Back on the topic of needle and stitch in my pants. As usual, I was especially nervous about this part because of that one or rather two times when I was a child and I was circumcised which were horrible and painful weeks, the most pysically painful time in my life, and removing those stitches was very painful as well.

Day 2

I’ve read that the worst would come the days after surgery itself. And they were right indeed. How much did they hate the Romans? A lot. But not in the way they thought.

I got up at 6:45 for the next painkiller dose and didn’t feel that good. Rather bad in fact. I felt very weak, my heart was racing and I felt like I had to vomit. Getting up was not easy under these circumstances as lying down felt a little better and I really wanted to just fall asleep again to not feel any of this. But the fear of the painkillers wearing off and the pressure on my bladder made me get up. I went to the bathroom, took the painkillers, drank a glass of water and went back to bed again, falling asleep quickly, still with the voice of Coldmirror keeping me company.

Some time between 8 and 9 o’clock, I woke up again. And still felt horrible. Though no pain in my mouth, at least. I was hungry, so I eventually forced myself to get up and eat something. But just the thought of eating the second half of yesterday’s tomato soup jar was suddenly not at all appealing, even though it tasted good yesterday. So I took a look at the other jars I had. None of them seemed appealing. After a bit of back and forth, similar to opening the fridge over and over again expecting to find something different, I opened one of the jars. But as soon as I smelled the smell of a perfectly fine soup that I would enjoy in the future, I felt like I had to throw up if I put any of that in my mouth. I closed the jar again. But I had to eat something, so I put the aforementioned tomato soup on a plate because I liked it yesterday, so it must taste good now as well instead of making me feel sick. After a couple of tiny straw sips, I just couldn’t consume any more. Every molecule entering my mouth made my stomach feel sicker. I tried drinking another glass of water which worked. I felt so bad that, as they say only in northern Jermany apparently, I could not more. To let someone know that I’m not alright in case something happens, I tormented myself by going to the adjoining room with my PC to turn it on to message my dad. A functioning phone would have been useful in this case. I don’t remember exactly what happened, I just know that in this worst of all moments I had some kind of technical issue that took a bit of time to solve before I was able to use the PC. I successfully messaged my dad on Matrix and he came over.

He gave me his smart watch to measure my heart rate and the BPM was way above 100, insert_bpm_joke_idiot.py. He sat on the side of my bed for a while. Since I had to eat something, he eventually made me a glass of vegetable broth. Unlike drinking water which worked, drinking the broth felt as horrible as consuming the soup. But since I had to eat something, I hadn’t had much to eat yesterday after all, barely breakfast, no lunch and only a soup for dinner, and because my dad was there, I forced myself to drink the broth. Every tiny sip was torture, it wouldn’t stop, it kept getting worse. Eventually, I was finally done and put the glass aside. I continued drinking water and also consumed some dextrose powder without making it worse. After a bit, I reached for the closed Tupperware® container™ I had already put next to me to throw up into if I had to. I refrained from picking it up and positioning it in front of me for use up until that point because of my dad’s presence, but now I really felt like I had to throw up at any second. And shortly after I did. The next step was to reach for the lid, but I still didn’t open the Tupperware® container™, again because I didn’t want to look like a sick person bent over a sick bucket in front of him. Not because he would have done anything, just because I didn’t want to be seen like this. I barely managed to open the container in time as the vomit suddenly came out, a bit of it still went on my blanket. For the little amount I had eaten, quite a lot came out. So definitely everything that was inside my body, I guess. I again hoped that this wouldn’t have a bad effect on the wounds in my mouth and used the disinfecting mouth wash to be safe while my dad kindly changed my what is apparently called dúvèt covêr. Sounds fancy. I’ve never heard that before, learning a lot today, it seems. Afterwards, I felt much better, less weak, not sick to my stomach anymore and a slightly lower heart rate. But unfortunately, the previous state returned quickly, albeit not quite as strong. My dad, even though he is usually almost as quiet as I am when there’s no need to talk, was talking about random stuff every now and again, most likely to distract me, and even though my occasional answers didn’t sound like it, I was thankful for it. I continued living on nothing but water, dextrose, thin air and love. While I couldn’t and didn’t want to eat anything, I still was very hungry and suddenly, the delicious image and taste of a warm and fluffy bread roll with cheese appeared in my mind and I really wanted to eat one. But of course couldn’t. I have no idea why I suddenly had appetite for that considering how anything else made me throw up. It also seems that this type of food isn’t that common outside of Jermany, search for images of Brötchen on the interwebs if you want to know what exactly I’m talking about. I love bread and especially cheese. Anyway, my dad told me he would drive me to what is commonly referred to as a Krankenhaus if it wouldn’t get better until noon and asked me if I felt like I could come to his flat with him, that way he could continue helping me if needed. I didn’t feel like I could yet, but I could and did eventually. We also agreed that the cause of all of this must have been the apparently very strong painkillers, either my body doesn’t tolerate these as well or I simply took way too much too often, in addition to the at least 5 syringes. I’d stop taking them and take paracetamol if I had to.

My brother was there over the weekend as well. I was lying down on the sofa next to him, reading, drinking water and cooling my cheek. My mum called to ask how the teeth are doing, and subsequently called very frequently to ask how I’m feeling. And over a couple of hours, I slowly got better and turned from a newt back into a human. Eventually, I felt like I could consume a soup without it coming out the way it got in. And so I could. I stayed there for the remainder of the day, my dad kept bringing me new cold packs, water, soup and vegetable broths and we watched two films. I was offered to stay there for the night and I didn’t know which option to choose, but I eventually decided that I might get more sleep in my own bed in familiar surroundings, and I really needed sleep. When I went to sleep, I hadn’t taken painkillers in over 12 hours and still had no pain at all.

Day 3

I kept Harry Podcasts on the entire night again. When the alarm woke me up, I had no issues getting up and I felt relatively well rested. I don’t even remember waking up at night, only once shortly before the alarm went off. And the position didn’t feel uncomfortable anymore. All of this was very unusual even in normal times, so it was a surprise to be sure, but a welcome one. Still no pain either or any of yesterday’s issues and the issues wouldn’t be coming back, fortunately.

My menu expanded a bit. The best thing was dissolving bread in soup, it tasted really good, like croutons, I could either immediately swallow it because the bread was basically part of the soup already or if it still was a coherent piece, I could easily squish it with my tongue into tiny bits, in thy mercy. I recommend this, but tastes differ, of course. Using different soup types is a good idea for variety too, there’s the one and only Soup Soup Soup for example, or House Soup Leaky. Mashing bananas turns them into basically a liquid as well, similarly to apple sauce, both are good for fresh fruit intake. And not this day but the following day or so I also ate mashed potatoes.

Pain slowly and unnoticeably started coming but it wasn’t that bad, I definitely could have tolerated it without painkillers and distracting myself made me not notice it at all, but since the option to lessen it was there, I took a 500 mb (I just noticed this typo but it’s too wisible to correct so I’m leaving it as it is) paracetamol dose before I went to bed for better sleep quality, so about 38 hours after the last dose of those other painkillers. And it lessened the pain enough to feel comfortable even when I focussed on it instead of distracting myself, though not as completely as the other one. I wonder if I should try the other one again with a lower dose and more time inbetween doses for a bit after the other side gets done, because it seems to be true that paracetamol isn’t nearly as effective as others. But maybe the stronger pain wouldn’t be as bad as feeling like dying for 6 hours. I should ask the surgeon. And the other side won’t be as bad as this one since the upper tooth is already out and the lower one isn’t as deep and is vertical.

When I brushed my teeth, I tried cleaning more of the right side by very carefully looking into the mirror from afar without light getting into the mouth, just enough so I could barely tell where the teeth are so I wouldn’t go too far or not far enough, but not enough to make me see anything I don’t want to see.

Day 4

I got a dentist appointment for Thursday (day 7). The stitches should stay for at least a week but they might be removed that day already if everything looks good, if not, I’d get another appointment for next week. This left me in the same situation as with the surgery appointment: I didn’t know if the bad part I was afraid of would happen yet, therefore I told myself it wouldn’t but hoped it would. Yes, I’m weird.

After not really doing anything productive or fun for the last days besides some reading and playing my keyboard along to music a bit, I should have started writing this, but I didn’t feel like I was in a good enough mood, so I decided to watch Dark. I watched it almost the entire day and loved it.

My dad also brought me something new to eat, soup with small shredded pasta bits that were small enough to swallow without chewing. It was great at first, something different that felt very filling, but eventually swallowing the unchewed pieces became difficult and it started tasting almost like very thick tasteless porridge. This one does not get my recommendation, unfortunately.

This is the end of the period that I wrote about days after it happened, starting with day 5, I wrote everything down the day it happened. So I might have forgotten some things, but I think the most important parts are there.

Day 5 – Second and Last Pain Peak

My cheek is almost back to its normal size. It hurt a little more than before, so I took paracetamol after breakfast for the second time. The swollen inside of the cheek was for the first time noticeably less swollen as well, I could almost close my jaw normally again without biting on it. I spent the entire day reading about this https://twitter.com/folkona_/status/1432545784080343047 https://twitter.com/Tiff_Tiefling/status/1432717762342817796 regarding Arcadum which made me feel not that great, I daresay. I would have cried, but because I’m not allowed to blow my nose and because it would most likely make my facial muscles hurt my mouth, I held it in, aided during the worst parts by looking away from the text or reading very quickly. I recommend not clicking on the links if you don’t want to have your day/week/life ruined, but I do recommend clicking on it if you want to see examples of abuse so you know what to look out for in order to be safe. Recognising it is a very important step, though unfortunately getting out if it is a completely different matter. And healing yet another. I have a lot of thoughts about this but I should probably get back on topic. Later during the day, I felt like my lower tooth or rather the lack thereof was hurting more than the upper one for the first time. And eventually, it developed into a different kind of pain, a more uncomfortable one that mostly gets triggered by by right cheek muscles moving in certain ways and occasionally by my tongue.

Day 6

When I woke up, I automatically closed my jaw, and was reminded of the situation by the slightly weird feeling. But I could close it again! My inner cheek is still a tiny bit between the teeth but slides away easily and with nearly no pain. Though I did bite on something, I assume the threads. To be safe, I still kept my jaw open and didn’t chew this day either. Smiling and laughing is less painful as well and possible to a higher degree. Also, I think every or almost every night, right when I fell asleep, I choked a bit on my saliva and had to get up to cough. At least I remember it happening last night and another time. And I remember dreaming that I was in a grocery store buying delicious food, but when I was reaching for my pockets to check if my wallet is there, as I do a lot, it wasn’t there. And I bought a rolled up dog kennel, I mean mattress, for some reason. Rather I picked one up before I realised I couldn’t pay and I woke up.

I really want to eat a giant delicious juicy hearty piece of pea-based meat right now. But I can restrain myself very well. And I have to.

I very carefully took a look into the mirror with my phone’s flashlight. I didn’t see anything bad, only black threads that mostly looked like they were in my cheek and not the gum for some reason, and especially one long end in the lower jaw went over the second molar. There was one near the top molar as well, though not quite on the tooth itself. So I guess that’s what I’m biting on.

Day 7 – Stitch Removal

I can close my jaw without any problems now. Only the threads I bite on are still there. And I can smile to a very high degree before it starts getting uncomfortable but not too painful. I took the third paracetamol dose this morning in case the stitches will be removed at today’s appointment to hopefully make it hurt less.

I’m back home from the dentist who removed the stitches and said everything looks great and is healing well. I think there were three threads, it hurt a bit, especially one, but not too much, again very manageable. And it was quick. They also said it looked like there were two more that already got out by themselves. So I guess the worst is definitely over, now I just have to wait for it to slowly completely heal and eventually eat what is generally known as food again. Though the dentist also told me that there should be about 8 weeks between this tooth removal and the remaining one. Now I really wish I had done them all at once. I have to do everything twice and it takes twice as long. More time for anxiety and annoyance. I really recommend doing them at once, though of course only under the circumstances I have faced and considering that I don’t entirely know how that would have been. But maybe it will make a difference in enabling me to eat better earlier on that one side.

Also, I’m just noticing that that weird pain in the lower area has apparently completely stopped since the stitches were removed, apparently they caused it. Good and relieving to know.

Day 8 – Non-Liquid Food

For lunch, I felt ready to try eating something that is not liquid and requires a bit of chewing. Also, known as, proper food that feels like you ate something and that is something different. So my dad invited me over to him and made pancakes, almost like in those ancient pre-teeth days a week ago. I only chewed with the left side and it worked really well. He had never made plant-based pancakes before and the outer parts were quite crunchy, he probably secretly put an entire raw unboned dead frog in the bowl to give me some animal protein, but I could still eat it without issues and they tasted really good. Chewing something with my teeth felt a little strange as I hadn’t done it in a while and I of course only used the left side. I might have applied a little too much pressure to the right side when I crunched the frog bones with my left side, there is a large hole in the bone not just next to but under the bottom right tooth after all, so I’ll definitely eat something that is properly soft next time, but as I said, it worked well. A couple of times I felt a bit when my tongue rubbed against sore areas, but barely. I think I ate five pancakes and at a rather high speed, at least compared to my usual very slow eating speed and my oral situation, it was great to finally eat something proper again. Maybe doing both sides separately is a good idea after all, being able to eat almost normally with one side is definitely nice. But, if you know me, you know that I would prefer eating nothing but Soup Soup Soup for months over prolonged critical social interactions, physical pain and anxiety any day. Also, getting out of the house into the fresh air even just for a tiny bit felt amazingly refreshing. Maybe it’s time for a little bit of physical activity again, maybe I should go for a short walk tomorrow. But I want to get this page done first. I feel like it takes longer to write down than it took to actually experience it. From day 5 onward, I wrote everything down the day it happened, but I’m still working on the events before, currently day 2.

I also ate a regular non-mashed banana, and the chewing part went perfectly fine, only opening the mouth as far as to fit it in still felt a little uncomfortable on the right side, but much less than before.

For dinner, I ate two slices of delicious cheddar Toasts and a mango yogurt.

I also carefully brushed the entire right side again today, it didn’t hurt or anything. At night, I slept horizontally for the first time. Which by itself was nice, but all of my usual bad sleep things returned. I woke up many times, recall nightmares about school, my mum being a villain and my brother being a victim, and getting up was very difficult. Maybe I should continue sleeping with my upper body at a 45° angle. I think I’ll try that once more tomorrow.

Day 9

I can now move the right corner of my mouth all the way back to the maximum degree of smile again, it only feels like it puts a little bit of pressure on the affected area but it’s possible and there’s no pain anymore. But opening the mouth too far is still not really painful but uncomfortable. My dad made his incredible plant-based pasta casserole with cheese, which is among my top favourite foods, and it was absolutely amazing. Eating good food is nice. I’m still wondering if doing both sides at once would have been better. There are many nice soft things to eat that I might be able to chew even with the impacted side. But I can’t change my decision anymore, so I should stop thinking about it. Though it would be nice to know what to recommend to others.

Day 12

I’m basically eating completely normally again, including (pea) meat and even a crunchy pizza on day 14, though I’m still only chewing on the left side. Opening my mouth to a high degree is possible but still a tiny bit uncomfortable. A little earlier, I tried carefully and quickly touching the bottom/top part of the affected gum areas and didn’t feel much, just like I didn’t see much in the mirror once I had the courage to do so. However, later I touched the outside and did feel multiple things, so I guess that’s the truly affected area.

Day 19

I tried opening my mouth as far as possible again and didn’t notice anything uncomfortable anymore, only a tiny sensory signal that makes me slightly feel the positions of the missing teeth. And unlike before, I nearly feel nothing when I contract my cheek muscles inward to the maximum degree, making them push against those areas. I’m not sure how to describe it, it’s basically like a very exaggerated smile on one side, something that’s useful to remove food stuck in the outside area of the back teeth.

Day 25

I got an appointment for the other side: 2021-10-22, exactly 8 weeks after the first one. I better get to the Halloween fideo quickly. I also just ventured around with my tongue a little more. I don’t feel any irregularities anymore, only that the upper gum goes up a bit after the last tooth, which makes it feel a little like an upside down valley between the tooth and the back of the mouth, where the wisdom tooth used to reside. It’s not like this on the upper left side, obviously, since that’s where the wisdom tooth is completely out. I don’t remember exactly how it was and felt before, though it must have been at the same level as the second molar area since that wisdom tooth was about to get out as well and the gum was touching the lower gum for a bit while the tooth was moving. But I think it’s been similar to this “valley” before that wisdom tooth moved further down, like when it was still in the state of the X-ray above.

Day 32

I just noticed that I don’t feel anything at all anymore when I open my mouth. I mean regarding the wisdom teeth.

Conclusion (Right Side)

It turned out to be no issue at all, my fears were needless, as they are most of the time. The only issue was of course my body’s unfortunate reaction to the painkillers, without that it really would have been perfectly fine and painless, but that’s most likely an unlikely isolated case that won’t happen to you. So there really is nothing to worry about. At least according to my experience. Experiences are different for everyone of course and there definitely are occasional cases that don’t go as well as mine, so don’t be afraid to say that you’d prefer more than just local anaesthesia if you’re worried, this is a serious surgical operation after all. As for the question of doing all at once or each side individually: All at once, I guess. The only thing I didn’t like was that I didn’t get much information beforehand and was only handed a piece of paper with information right before leaving. But I do like that I was given information in written form as I probably would have forgotten most of it if it was only told to me orally because of how nervous I was.

I would also like to take this opportunity to thank my dad for everything he has done for me during the first week, especially on that one fateful day. Thank you so much :)

Since the good experience I had during and after surgery was made possible by the very competent and friendly surgeon and their co-workers, I might as well recommend them in case anyone from northern Germany reads this. It was Dr. Dr. Marc Föge from Kerscher Körner Föge www.kerscher-koerner.de in Kiel. Special thanks to you and the entire staff as well!

Day 1 – The Other Side – Toothday

At Home

I was much less nervous than last time, but still nervous. I ate a banana and a 200 g bâguéttè for breakfast and I had an appetite until the last quarter, but I was still easily able to eat it all up, unlike last time. And I only pressed Z to defecate once, unlike last time. Unfortunately, I haven’t had enough sleep recently and about 4 hours of half-sleep last night. But before going to bed (later than I intended to because of the following), I discovered the apparently very well known, rightfully so, song commonly referred to as One-Winged Angel because Smooth McGroove’s version (which is abolutely incredible) started playing while I was listening to music. It was love at first sight and I subsequently played along to this song for quite a while and could barely think of anything else, I smashed the chords down with so much force for so long that my fingertips started hurting. Even this morning my mind was filled with this song. It found me at a very convenient time. I only hope that I won’t associate this song with wisdom teeth surgeries for the rest of my life.

Pre-Surgery

I didn’t see a clothes rack anywhere in the waiting room, so I kept my jacket on and when I went into the treatment room, I put it on a chair inside next to the door. I hoped I wouldn’t forget it there. After a bit of waiting, last time’s very friendly surgeon and a nurse came in. They asked me if everything had been alright and also mentioned that I had a circulatory collapse due to the painkillers. My mum told me that she had called the surgery (as in the building, as in the receptionist) and told them what happened to make sure I would take those painkillers again but I didn’t expect the surgeon to know about that already, but it meant that I didn’t have to explain it, so I’m not complaining, though I wonder what exactly she said. The surgeon asked what other painkillers I should be taking and I replied paracetamol since that’s the one I take without issues when I get a migraine and because I had to promise my mum not to take anything but that this time. Which is allegedly not very efficient for this according to what I’ve read, but my response was apparently satisfactory to them.

Then I explained the situation with my bottom right first molar. I don’t think I’ve done that here yet. A couple of months ago, I got a filling in that tooth at my local dentist. A month later, I started feeling pain sometimes when biting on that tooth in a specific spot. The typical disgusting tooth pain. Not as bad as it could be, but not the nicest feeling either, but at least it disappears immediately once I stop biting on whatever caused it, unlike that other tooth in January that took hours to stop hurting. But it definitely prevents me from eating on that side. So I went back to the dentist, the tooth was looked at, but they didn’t see anything. They took an X-ray and nothing seemed to be wrong there as well and the filling was apparently not very deep. But that one horizontal wisdom tooth was visible on that X-ray as well, so they said that that might be the cause, though I considered it unlikely since I was pretty sure it was the first molar and the wisdom teeth only impacted the second molar. They removed a bit from the top of that filling and put some stuff on it and told me to go and see if removing the wisdom tooth fixes it. Since the first surgery, I’ve only been chewing on the left side. But I’ve become less careful recently and a couple of times some food sneakily sneaked over to the right teeth. And I again and still felt that pain in the first molar. Apparently it had nothing to do with the wisdom tooth. The surgeon said that it’s possible that the filling applies pressure to sensitive or damaged parts and removing more of it could help. I think they said that, I don’t remember things well when I’m nervous. I had planned to ask some more questions regarding the utilisation of straws and so on, but after that they started to proceed with the local anaesthesia and I didn’t feel like asking more questions, I just wanted it to be over. So if you want to know the answers: Ask your surgeon yourself, I guess.

Local Anaesthesia

I was given two syringes. It felt like they were both injected at the top outside, but apparently not. The first one was just very barely uncomfortable, the second one rather uncomfortable, I think so was the second one last time, again at a level that made my whole body tense up, but it was quick and definitely manageable. While I was waiting before and afterwards, I was again shaking and this time also tried to combat it by imagining Smooth McGroove faces in the many small round lamps above me, singing mysical latin chords while looking at me sinisterly. Ten minutes later I was asked if my lips were numb. I replied that I don’t feel anything in my lips, only a bit in the cheek. So I was given two more syringes, one into the top and one into the bottom. I barely felt the first one and the second one was again more uncomfortable but this time only a bit because the area was already a bit numb. After apparently another ten minutes, the left half of my tongue had started to feel tingly and numb, although not completely numb, and the left half of my lower lip was quite numb as well, but the upper one not at all. And swallowing was a little difficult but worked well enough. Apparently that was good enough and supposed to be like this since the top tooth is already in its final position and only has to be pulled out. So the nurse told me to put my music on and they started.

Ze Procedure

Just like last time the surgical drape was put over me and they started with the upper tooth. No drilling, cutting, blood, spurt, murder, Hitchcock, Psycho was required and they started pulling it out. I felt something, it was like the shadow of a sensation, maybe from the pressure on the surrounding tissue, but it wasn’t pain and only very slight. I think it fell out into the back of my mouth, at least I think I felt something there and them manoeuvring (is that seriously the British version? That looks rather wisible) it out with their picks. Then they told me it would get loud. Apparently, the bottom one required drilling through Bones (sic!) once again. While it was loud, it didn’t reach uncomfortable levels like last time. I didn’t feel anything besides the overall forces on my lower jaw, though the thought of them drilling and milling through my lower jaw wasn’t that comfortable and I was wondering if they could accidentally break it apart. But I didn’t focus on that thought too much. They told me I would hear a crack, but I didn’t really, and a bit of fiddling around later it was out. They put a piece of gauze in there, told me to bite on it and it was over. The surgeries, at least. According to this time’s Harry Podcast time progress bar, it took 5 minutes and 25 seconds, so half as long as last time and doing all at once would have taken 15 minutes.

X-Ray

I was told to wait outside to the right on the green bench to have an X-ray taken. I put my phone and earbuds into my pants’s’s pockets, taking a while to nervously stuff the cables in there, and then took my jacket that I was very focussed on not to forget. In fact, I was so focussed on not having forgotten my jacket and the surgery that just happened that I forgot to get my facial masking device out and back on, the surgeon had to remind me as I was about to leave the room body. In the X-ray room, I was told to bite on that thing on the device as usual, but I also had that gauze in my mouth I had to bite on, so I asked about that and was told that it doesn’t matter. I was also wondering if taking an X-ray now is a good idea since I’ve already had a full teeth X-ray at the beginning of the year and two spot ones, and another full one would probably be useful once both sides are supposed to be fully healed. A physics teacher told us that like three times or something is the maximum amount of X-rays one should get per year to avoid risks and therefore one should always tell doctors of any recent ones. But I didn’t feel like or was fully able to discuss that and possibly object to their professionaly planned proceedings. I haven’t had an X-ray taken since my braces were taken off like 8 years ago (subsequently they told me that I have 4 wisdom teeth that will eventually have to be taken out and expressed their condolences (Hi, young Phalio of 8 years ago worrying about the surely painful process of having them cut out of the jaw, it’s finally over and it went well!)) and the two X-rays that only contaminated small areas of my jaw might not be as bad as bigger ones, so I hope it’s alright. I’ll put the new X-ray here if I’m able to get my hands on that one as well. Why are medical practices allowed to decide not to give X-ray images to their patients and only allow them to view them on-site? Anyway, the receptionists gave me the same information sheet as last time and only one prescription, one for the mouth wash and none for painkillers. Prescription-free paracetamol it is. Let’s hope it’ll be enough.

Back Home

Considering the amount of anaesthetic syringes I needed, maybe doing both sides separately was a good idea after all, besides eating conveniency and numbness conveniency. According to my interwebs acquaintance Kevman, there is a maximum they can give you, and after that you’ve got a problem. And splitting the amount of injected anaesthetics in half is probably healthier as well, maybe they contributed to what I experienced last time.

After a bit over half an hour, I tried to get the piece of gauze out of my mouth. I don’t remember how exactly I did it last time or how well it went, but not remembering anything specific must mean that it went perfectly well and easy. This time, it took me quite some fiddling around with my tongue as it seemed to be sticking to the top, and I was worried I could damage something with my tongue by digging around over there. But I eventually got it off and manoeuvred it out of my mouth. I didn’t experience any pain doing this.

Already on the way home, shortly after it was over, swallowing saliva started to hurt due to the tongue rubbing against the top ex-tooth. At home, 1.5 hours later, the anaesthesia started affecting my swallowing apparatus a lot more, making it both difficult and painful to swallow saliva (or water), and in addition to that, I experienced a gag reflex for some time, probably also because of the anaesthesised swallowing area.

Now, almost 4 hours after the operation, the local anaesthesia seems to be wearing off. The upper part of my cheek already feels completely normal and the lower half only a little numb. I think that’s much faster than last time, or maybe it just appears faster now that I know what to expect because it has already happened once. Swallowing is technically working a little better than before as I’m theoretically able to do so without any anaesthesia in that area, but it’s becoming increasingly more difficult due to increasing pain, added blood makes the saliva very thick and slimy which also makes it harder to swallow and always makes some of it stay in my mouth, meaning that I have the urge to swallow again. And it seems that my saliva production is increased by a lot, not swallowing for like a minute already fills my entire mouth, I think it was like this last time as well. I always wonder how getting rid of excess saliva works when it’s done automatically as it seems weird doing so consciously. That one time when I was a child, I had a series of tonsillitises which made swallowing extremely painful, and so did the top right wisdom tooth when it started moving right before the first surgery. I don’t remember how bad it was during the tonsililititisises, but this is definitely very bad indeed. Before every swallow, I have to mentally prepare myself and clench my hands around my arms or something, and a couple of times I just couldn’t get myself to swallow, so I spit a mouthful out into the sink instead, watching thick red saliva slowly dropping down into the sink, red clouds swirling around in it, a thick strand adhering to my mouth that wouldn’t get off by itself, but the saliva production just didn’t stop. Or maybe it was blood leakage. After like 3 or 4 spits, I remembered that spitting was mentioned as bad on the information sheet, so I stopped doing it. The bottom ex-tooth hurts now. I don’t feel anything in the top one right now when my tongue isn’t rubbing against it, maybe the stronger lower pain is just dominant in the neural network. Time to have my neural network learn the English words given to different types of pain. It feels like there’s pressure on the lower ex-tooth, dull pain with bit of sharp pain. It’s getting stronger quite quickly, maybe I should take the first painkiller dose now. It seems to be passing the point of ignorability soon. Last time’s painkillers seemed to really have made a difference, I didn’t have any pain at all during the first like 48 hours. As I’m writing this it keeps getting stronger. I hope that paracetamol will do the job well enough. I’m not sure if I prefer feeling the pain of holes and nerves cut out of my mouth over feeling sick for half a day. As I’m writing this, the idle state pain (when I’m not swallowing) has reached a level I would consider to be quite uncomfortable, a level that makes me dig my nails into my skin. My mum told me she didn’t take any painkillers when hers were taken out and she went to university as normal. I guess experiences are different indeed, including perceived and tolerable pain. Time for Distraction Heavy to boldly go where no one has gone before.

The 500 mg paracetamol dose seems to have stopped the worsening process at least, but it’s rather bad. Swallowing is the worst. I’m glad I had proper painkillers for the worse side, I don’t want to imagine how that would have been like without them. Cooling and distraction make it bearable. The worst comes after indeed. At least it’ll be over after this. Who invented painkillers that bodies don’t tolerate? And who invented pain? And who saliva that has to be swallowed? I want a third option that’s not either death by pain medication or big pain.

The top and bottom seem to take turns hurting more. I’ve been consuming soup in tiny units with a tea spoon for the last 2 hours and I’m still not done. Either the pain has lessened by a tiny bit or my many agonising sips have taught me to tolerate it a bit better. I suspect the latter. It’s still horrible. If only I could FamiTrack, make my website or create worlds and characters without worries and pain right now. Veni, veni, venias! Ne me mori facias! Wisdom teeth! Bab bab bab bab bab bab bab bab bab bab bab…

When I went to bed, I tried to sleep without another dose of paracetamol, maybe I could fall asleep and not feel the pain while taking less stuff that could potentially make the rest of my body unhappy. I fell asleep eventually, but also not really, I kept waking up, partly due to being at a 45° angle but mostly because of the pain and because my open jaw turned into an open mouth with a relaxed tongue once unconscious, causing saliva to uncomfortably drip down into my throat. After like 2 hours in this state, I decided that I have to take another dose, also because I had to get up anyway to relieve my bladder. It didn’t seem to make a significant difference, but it did make it bearable enough. The remainer of the night still consisted of constant waking up. At least Coldmirror’s voice was once again there keeping me company throughout the night.

Day 2

I was woken up by my alarm at 8. I seemed to have been extremely not awake as inputting the PIN to be able to turn the alarm off was quite the challenge, but the very loud alarm (that I tried to muffle a bit under my blanket as to not disturb the neighbours because I couldn’t input the PIN very fast and I also failed once) and the PIN challenge definitely woke me up successfully, as intended. Besides being tired, the alarm clock shock and my mouth, I was feeling perfectly fine. No faintness, no vomiting, nothing. So I guess this proves it were the painkillers last time. I stayed in bed for like half an hour until I could get myself to get up because of how tired I was, but this is very normal for me. I hadn’t put my phone with the alarm on the other side of the room to make me get up. The pain in my mouth is definitely better than yesterday. It was still uncomfortable, but manageable, I could have not taken any more painkillers and it wouldn’t have been too big of a deal. Swallowing only induces a medium amount of pain, also manageable. But to turn just manageable into well manageable, I took the third paracetamol dose. And this time, I perceived a clear difference. I barely felt pain in an idle state and only a low amount while swallowing. I declare this point in time as the worst being over and the rest only being an inconvenience.

The inside (and outside) of my cheek is swollen again, just like last time, making me unable to close my jaw, or at least giving me another reason not wanting to close it. I can also sometimes feel the threads with the side of my tongue. Also, I don’t think I mentioned this last time, but my lips are again desquamating a lot (never experienced that word before), but this time I’m trying to resist biting or tearing the pieces off as that results in more than the excess skin being torn off. This must be caused by the combination of me opening my mouth very widely at the oral surgeon while not being able to moisten them. Usually my mouth is shut all the time, and not opened that widely if forced to do so.

About 4 hours after a paracetamol dose, it seems to start weakening by a noticeable amount. After about 6 hours, it seems to be back at a rather uncomfortable but, as I said, definitely manageable state. It’s night again now and the dull quality of the pain has weakened a lot, it’s almost all sharp pain now. The top and bottom ex-tooth still take turns in hurting more. Eating soup, mashed bananas and drinking has been working quite well today, unlike yesterday. I’m glad that’s over.

Also, I just remembered something wisible that happened yesterday in the waiting room. When my name was called, the person called me by an irrelevant and unnecessary gender identifier and my last name. But my last name was pronounced wrongly. One letter was replaced by two completely different ones, resulting in a different last name that apparently also exists, albeit one that sounds and looks very different. This has already happened a couple of times in my life, but not for a long time, but Amarizo and I sometimes use it as a joke name for me, just like how I call him Amaratzo.

Day 3

I think I forgot to mention this so far because it happens at night and I forget most things that happen at night if I don’t write them down as they happen. Each of the many times I woke up, I woke up to an open mouth due to me not wanting or being able to close my jaw and because of my upright position. And each time my lips are extremely dry, and so is part of the inside of the mouth and the back of the throat, which makes it feel like it’s sore from a cold. It’s quite uncomfortable to keep waking up to this, which is probably the main cause for the lip issue I mentioned yesterday, but the uncomfortable and sore feelings go away quickly after getting up in the morning. Though I hope it doesn’t affect the ex-teeth.

I proceeded from p(l)ain soup to soup with dissolved bread. And I have to admit, this potato soup with bread tastes really good. I should eat that during normal circumstances as well.

Pain levels feel like yesterday, manageable without painkillers and very manageable with them.

Day 4

The night was alright. The outside of my cheek is much less swollen, it’s still noticeable if one looks at it but at a quick glance my face can pass as normal. Pain levels are now very manageable without painkillers. I’m also almost not having issues with my lips anymore. I guess refraining from biting the bits off payed off.

I tried carefully touching the swollen inside part of my cheek with my tongue and the result was quite interesting. It felt like there’s a thin flat protrusion that reaches all the way across the row of teeth, as if I would be sucking the inside of my cheek into the area between my teeth, only that it’s like this permanently and not only when applying negative pressure. My first thought was that it must be like this either because I’ve been unknowingly biting on it while it was numb or because it was damaged during the surgery process. But after venturing a little further back with my tongue, I noticed that it seemed like this protrusion is only one half of the truth, another protrusion followed and there was an artificial vertical fold between them, created by two parts of the inside of my cheek being sewn together. I didn’t feel a thread there, but it definitely feels like two parts being held together. That would match with my finding last time that it seemed that some stitches were in my cheek and not the gum. Maybe they did this to create these protrusions to make them cover the wound up to make it heal better or something. Interesting. And a little uncomfortable to know, but it all went perfectly well last time, so I guess it’ll be alright.

About 10 hours after the last paracetamol dose, it’s starting to become a bit uncomfortable again. Not too bad, but I might just take another one to sleep comfortably.

Day 5 – Second and Last Pain Peak

Slept so well and deep tonight that I was able to have my usual many nightmares instead of waking up before they happen. However, it definitely hurt more than before, and in a different way. More sharply, but a different kind of sharp, accompanied by a different kind of dull pain that feels like it’s lower than before, further down in the bone, almost exclusively the bottom side. And swallowing hurt the lower ex-tooth substantially as well for the first time. I was a little worried and of course took another painkiller dose as it was quite uncomfortable. It was alright afterwards but still worse than before. But then I took a look at this page and noticed that I apparently experienced the exact same thing on the 5th day last time. So I guess it’s normal. Fascinating. Everything repeats itself. Even other things I wrote about seem to happen at the exact same time again. For example that my face looks nearly perfectly normal again and that I can technically already close my jaw without the inner swollen cheek being in the way too much. I added “Second and Last Pain Peak” to the headings of this and last time’s day 5 documentation to put this on record as an apparently reoccurring event.

I don’t think I mentioned this last time, but especially today on day 5, though also a little the days before, the other teeth on the impacted side hurt a little. Not really in an idle state, but especially while I brush them or when I apply pressure with my tongue. It feels like there’s pressure on them, or rather that there was a lot of pressure on them and they’re still sore, almost as if I had been grinding my teeth by extreme amounts the entire night or something, except that my jaw was never closed. Maybe they applied a lot of pressure on them during surgery or something, to rest the tools against them or to lever the wisdom teeth out. Actually, now that I think about it, it’s the exact same feeling I had when my braces were tightened, I believe, and maybe it’s coming from the teeth moving a little due to the holes at the back.

Since I have a dentist appointment later today, I nervously took a close look at the bottom ex-tooth with a flashlight to see if it’s clean enough and so on. I didn’t see anything bad, but it did really look like there was a fold sewn into the cheek there that covered the outer side and top of the gum behind the second molar up. There was also quite a layer of residue or something gathering at the outside of the second molar and the gum area there, just like last time. It looked a little like it consisted partly of toothpaste. Last time, I was able to perfectly get rid of it on the day the stitches were to be removed. Today, I tried carefully removing the frontmost part of it between the molars with the tip of my toothbrush, but it hurt a bit and the brush started becoming red immediately and so did the gum there, so I stopped.

But the dentist didn’t say anything about that, so I guess it’s either normal or irrelevant. First I was shown the new X-ray for the first time. I was only shown the bottom right ex-tooth area, the bad one from last time, I didn’t see the whole image and not the left side that was freshly surged at the time the X-ray was taken. But that one ex-tooth still showed a big hole in the jaw bone. Interesting to see, and also a little scary. But what I immediately noticed was that the roots of the second molar that appeared to be partly gone in the X-ray from before were all there and seemed perfectly intact! So I guess they weren’t destroyed by the wisdom teeth and it somehow was before or behind them or something and the perspective of the X-ray just hid them. The dentist proceeded taking cold tests (no idea if they have a name, they hold a very cold piece of cotton or something against a teeth to test if the nerves are still reacting to it as they should be) on the first molar there that I’ve been having issues with and deemed it perfectly fine once again. Otherwise they couldn’t do anything now as they said they have to wait for the bone to fully heal before attempting stuff like remaking the filling or something, and maybe it’ll be fine by itself after it’s healed. I wonder for how much longer I’ll be having pain in that tooth. Maybe having survived the trial of wisdom won’t be the end of annoying and anxiety-inducing teeth stuff after all. But after having survived teeth being cut deep out of the jaw bones and not having felt any pain at least during the procedure might have cured my fear of dentists. After all, what’s a mere tiny or even larger filling or possibly root canal compared to that? Or even just routine Chekup or professional tooth cleaning?The dentist also said that the ex-teeth look well and that I should come back on Friday (exactly a week after Toothday) to have the stitches removed.

Especially the upper non-ex-teeth started having that braces feeling quite a bit in an idle state as well, especially the area around the canine (is that really how they’re called? Interesting). And that day-5 pain on the lower ex-tooth started getting a tiny bit of an itchy feeling to it as well. Similarly to last time, I think. All in all rather uncomfortable. I guess painkiller season is still not over yet. I also wonder how well I’ll be able to eat with both sides impacted now and with the further healed side having that tooth I can’t use to bite on anything that’s not soft.

What I think I also haven’t properly mentioned so far is that, at least this time, my tooth brushing and mouth wash spit was quite red on the first day, sometimes a little red and sometimes clear on the second day and perfectly normal from day 3 forward, if I remember correctly.

Day 6

As scheduled, I could close my jaw again, though the inside of my cheek still rubs against the back teeth a little and it still very much feels like the cheek is sewn together. Everything repeats itself. An endless cycle. The knot has to be maintained.

It hurts significantly less than yesterday, only barely in an idle state, swallowing makes no difference, only opening the mouth or moving other cheek muscles is uncomfortable. Occasionally sharp pain gets a little more intense, but overall its very comfortable now. I’ll probably take another paracetamol dose on day 8 for stitch removal, if that even helps, and that should be it.

Day 7

It basically doesn’t hurt anymore and stuff like moving muscles, smiling or opening the jaw is much easier than last time, I believe. How deep and inconvenient the tooth lies definitely seems to make a difference.

Tomorrow, the stitches will be removed. When I went to bed, I realised that it’s nearly finally over and I felt weight lifting off of my chest and a big feeling of relief, freedom and a hakuna matata future. Then of course I remembered my problematic tooth and that I have to sign up for mandatory health insurance. But teeth don’t scare me anymore and I guess maybe hopefully the insurance paperwork and bureaucracy and stuff won’t be that bad.

Day 8 – Stitch Removal

For some reason, all feelings of relief and freedom are gone again. Happiness and peace are unobtainable.

Removing the stitches took a little longer than last time and there were definitely more pulled out than last time, in addition to the dentist saying it looks like some already got out by themselves again. They couldn’t get one out on the first try, they said it was a little ingrown. Having them pulled out resulted in a prick-like feeling, the aforementioned one was a little more intense but the feeling itself wasn’t too bad, so it wasn’t an issue. I was worried that having threads pulled through your body would feel uncomfortable and painful in multiple ways, but unlike those times when I was a child, it really only was a harmless, though partly more intense, prick, one that is very well manageable even at higher intensities. The dentist also said that especially the top looks a little irritated, so I should be careful for another couple of days. I was given an appointment for early January, 2.5 months in the future, and was allowed to go.

It all seemed to have happened much quicker this time, I assumed because this side’s teeth weren’t as deep, but looking at last time’s documentation, it looks like most things happen at the same pace again. So it seems like it only appears to happen faster to me because I know what to expect, because it has already happened, because I’m not focussing on it that much, just like the way back feels much quicker than the first-time way there. Fascinating. Though I am rather sure that I had less issues when forced to laugh.

Day 9

According to the dentist’s findings, I decided to stick to soup soup soup for at least another day. I know I said in the beginning that soup with bread tastes really good, but I’m really getting sick and tired of it now. Being able to eat normally on one side after almost a week really is a big upside after all.

Day 10 – Non-Liquid Food

The time has come. Food. Taste. I had a delicious Brötchen with cheese for breakfast, or earlyslice, as my dad called it fittingly, wittingly and wittily. It was delicious indeed, but even though it was very fluffy and soft, the soft crust was still hard and crunchy enough for that one tooth to make me feel slight pain when biting on it, but only very slight, almost not noticeable and definitely worth it for the good taste as well as nourishment.

For lunch, I made one of my favourite dishes: Spaghetti with falafels and onions. It was great and surprisingly I didn’t feel any pain in that one tooth. Falafels are quite soft, but they do partly consist of tiny crunchy bits that could be bad, but apparently not.

Day 11

I’m not sure if I’ve mentioned this before, but since a couple of days after the extremely dangerous operation that was nothing to worry about, I’ve had a feeling at the lower ex-tooth when the tongue presses against it while eating or drinking that feels like there is a tooth there that is extremely loose and about to fall out if I move it. Not the same feeling I had in the surrounding teeth that is now gone. This feeling feels exactly like in one of the many teeth nightmares I had until recently where my teeth fell out. Interestingly, they appear to have stopped since the first wisdom teeth surgery. I think this feeling is how it felt to have loose baby teeth. Maybe I feel more tongue-related stuff on the surface of both ex-teeth this time because they were less deep and therefore my tongue has more of an impact on the holes that are right below the surface.

My right rows of teeth, or rather the gum, feels a little… like they’ve been used too much. This must be because I’ve exclusively chewed on the left side for over 4 months. Usually, I use both sides simultaneously and to the same degree. My dad told me he always uses one side more than the other. Interesting.

Day 13

I tried brushing the entire left side carefully again and the bottom outer side still coloured the tip of the brush a little orange. And both left second molars still feel quite rough and not smooth and clean as properly brushed teeth.

The right side seems to have gotten used to being used again, I don’t feel any sign of overusage anymore. That feeling on the bottom left ex-tooth when my tongue presses against it that makes it feel like there is a very loose tooth there is almost completely gone.